Merkel Cell : The Origins Of Various Types Of Skin Cancer 1 Merkel Cell Merkel Cell Download Scientific Diagram : This assay is used to screen merkel cell carcinoma (mcc) patients for current or prior infection with the merkel cell polyomavirus.

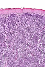
Merkel Cell : The Origins Of Various Types Of Skin Cancer 1 Merkel Cell Merkel Cell Download Scientific Diagram : This assay is used to screen merkel cell carcinoma (mcc) patients for current or prior infection with the merkel cell polyomavirus.. Merkel cell carcinoma (mcc) was originally described by toker in 1972 as trabecular carcinoma of the skin. other names include toker tumor, primary small cell carcinoma of the skin, primary cutaneous neuroendocrine tumor, and malignant trichodiscoma.mcc is an aggressive neuroendocrine carcinoma arising in the dermoepidermal junction (refer to figure 1), and it is the second most common. Treatments are often highly individualized, depending on a patient's general health, as well as the tumor's location, size, depth, and degree of spread. Merkel cells are found in the epidermis (outer layer of the skin). Also called neuroendocrine carcinoma of the skin or trabecular cancer, merkel cell carcinoma is a very rare type of skin cancer that forms when. Merkel cell carcinoma (mcc) is rare and dangerous but treatable, especially when found at an early stage.

Merkel cell carcinoma (mcc) is a rare and aggressive skin cancer occurring in about 3 people per 1,000,000 members of the population. Abstract merkel cell carcinoma (mcc) is a rare, clinically aggressive cutaneous neuroendocrine neoplasm with a high mortality rate. Established by testing of 104 normal blood donors. However, recent research suggests that it is unlikely that mcc originates directly from normal merkel cells. Merkel cells are types of cells in the upper layer of the skin.

Surgical Management Of Merkel Cell Carcinoma Otolaryngologic Clinics Of North America
Surgical Management Of Merkel Cell Carcinoma Otolaryngologic Clinics Of North America from els-jbs-prod-cdn.jbs.elsevierhealth.com
Merkel cells register gentle touch. They were originally described in the late 1800s by friedrich merkel, a german anatomist. Factors involved in the development of mcc include the merkel cell polyomavirus (mcpyv or mcv), a. It may be very aggressive and often metastasises to other parts of the body. Support from others—in the form of advice, recommendations for local healthcare providers, or sharing personal victories—can help ease the burden many mcc patients and their families feel. A rare disease in which cancer cells form in the skin. It's been proven to help. Treatments are often highly individualized, depending on a patient's general health, as well as the tumor's location, size, depth, and degree of spread.

Merkel cell carcinoma (mcc) is a rare, aggressive skin cancer.

Most often, immunotherapy is used to treat merkel cell carcinoma that has spread to other areas of your body. Preauricular lymph node metastasis was also present. Merkel cell (neuroendocrine) carcinoma of the skin is an uncommon entity that was first described by toker as trabecular carcinoma. Merkel cell carcinoma of the skin is a rare form of skin cancer. A merkel cell is a touch receptor found in the skin. Although their origin is unclear, they are thought to arise from epidermal ectoderm rather than neural crest. A higher number, like stage iv, means cancer has spread more. He found these cells at high density in the paws of rats and surmised they may serve as touch cells. Merkel cells are found in the epidermis (outer layer of the skin). Merkel cell carcinoma (mcc) is rare and dangerous but treatable, especially when found at an early stage. Chapter 46 merkel cell carcinoma, in the ajcc cancer staging manual, eighth edition (2017) published by springer international publishing. It may be very aggressive and often metastasises to other parts of the body. As a rule, the lower the number, the less the cancer has spread.

This assay is used to screen merkel cell carcinoma (mcc) patients for current or prior infection with the merkel cell polyomavirus. These cells are very close to nerve endings in the skin. Merkel cell carcinoma can look like a sore this skin cancer often develops on the head or neck and can look like a sore. Merkel cell carcinoma can be dangerous because it tends to grow quickly. Key facts about this skin cancer that can help you find it early are that mcc tends to:

1
1 from
Merkel cell carcinoma (mcc) is a rare, aggressive skin cancer. Merkel cell carcinoma most often develops in older people. Find out more about risk factors, symptoms, tests to diagnose, prognosis, staging, and treatment for merkel. A merkel cell is a touch receptor found in the skin. These cells are very close to nerve endings in the skin. Merkel cell carcinoma occurs when these cells grow out of control. Though the etiology is not precisely known, merkel cell polyomavirus dna has been found recently in a large percentage of mcc tumors. However, recent research suggests that it is unlikely that mcc originates directly from normal merkel cells.

In most people, the first sign of merkel cell carcinoma is a small bump (nodule) on the skin.

Support from others—in the form of advice, recommendations for local healthcare providers, or sharing personal victories—can help ease the burden many mcc patients and their families feel. Merkel cell carcinoma is a very rare disease in which malignant (cancer) cells form in the skin. Merkel cell carcinoma can look like a sore this skin cancer often develops on the head or neck and can look like a sore. As a rule, the lower the number, the less the cancer has spread. The earliest stage merkel cell cancers are called stage 0 (or carcinoma in situ), and then range from stages i (1) through iv (4). They were originally described in the late 1800s by friedrich merkel, a german anatomist. A higher number, like stage iv, means cancer has spread more. It may spread quickly to surrounding tissues, nearby lymph nodes, or more distant parts of the body. Merkel cell carcinoma (mcc) was originally described by toker in 1972 as trabecular carcinoma of the skin. other names include toker tumor, primary small cell carcinoma of the skin, primary cutaneous neuroendocrine tumor, and malignant trichodiscoma.mcc is an aggressive neuroendocrine carcinoma arising in the dermoepidermal junction (refer to figure 1), and it is the second most common. Merkel cells are connected to nerves, signaling touch sensation as touch receptors. mcc was named after merkel cells due to the similar microscopic features; Although their origin is unclear, they are thought to arise from epidermal ectoderm rather than neural crest. This assay is used to screen merkel cell carcinoma (mcc) patients for current or prior infection with the merkel cell polyomavirus. It is also known as cutaneous apudoma, primary neuroendocrine carcinoma of the skin, primary small cell carcinoma of the skin, and trabecular carcinoma of the skin.

Merkel cell carcinoma can be dangerous because it tends to grow quickly. Merkel cells are types of cells in the upper layer of the skin. And within a stage, an earlier letter means a lower stage. Screening for the merkel cell polyomavirus vp1 capsid antibody is done once, on the first sample ordered for amerk testing (and billed separately). Merkel cell carcinoma is highly treatable with surgical and nonsurgical therapies, particularly if caught early.

Merkel Cell Carcinoma Jama Dermatology X Mol
Merkel Cell Carcinoma Jama Dermatology X Mol from xpic.x-mol.com
Merkel cell carcinoma can look like a sore this skin cancer often develops on the head or neck and can look like a sore. Also called neuroendocrine carcinoma of the skin or trabecular cancer, merkel cell carcinoma is a very rare type of skin cancer that forms when. Merkel cells are epithelial neuroendocrine cells. Established by testing of 104 normal blood donors. Merkel cell carcinoma (mcc) is rare and dangerous but treatable, especially when found at an early stage. Merkel cell carcinoma is highly treatable with surgical and nonsurgical therapies, particularly if caught early. Factors involved in the development of mcc include the merkel cell polyomavirus (mcpyv or mcv), a. Find out more about risk factors, symptoms, tests to diagnose, prognosis, staging, and treatment for merkel.

Sun exposure and having a weak immune system can affect the risk of merkel cell carcinoma.

Merkel cell carcinoma can look like a sore this skin cancer often develops on the head or neck and can look like a sore. Merkel cells are connected to nerves, signaling touch sensation as touch receptors. mcc was named after merkel cells due to the similar microscopic features; Sun exposure and having a weak immune system can affect the risk of merkel cell carcinoma. Chapter 46 merkel cell carcinoma, in the ajcc cancer staging manual, eighth edition (2017) published by springer international publishing. Merkel cell carcinoma (mcc) is a rare, aggressive skin cancer. Merkel cells register gentle touch. Merkel cell carcinoma is also called neuroendocrine carcinoma of the skin. These cells are very close to the nerve endings that receive the sensation of touch. The earliest stage merkel cell cancers are called stage 0 (or carcinoma in situ), and then range from stages i (1) through iv (4). Abstract merkel cell carcinoma (mcc) is a rare, clinically aggressive cutaneous neuroendocrine neoplasm with a high mortality rate. A higher number, like stage iv, means cancer has spread more. A rare disease in which cancer cells form in the skin. If you've been treated for a previous mcc, pay close attention to the site and the surrounding region.

Merkel cell carcinoma can be dangerous because it tends to grow quickly merkel. Find out more about risk factors, symptoms, tests to diagnose, prognosis, staging, and treatment for merkel.

Komentar